혈소판은 혈액 응고를 도와 출혈을 막아주는 중요한 세포입니다. 하지만 혈소판 수치가 낮아지면 출혈이 쉽게 발생하고, 상처가 잘 아물지 않는 등의 문제가 생길 수 있습니다. 혈소판 감소증은 다양한 원인에 의해 발생할 수 있으며, 주요 증상으로는 자주 멍이 들거나 코피가 자주 나는 것, 잇몸 출혈 등이 있습니다.
혈소판 수치가 낮으면 나타는 증상 및 혈소판 수치 올리는 방법에 대해서 자세히 알아보겠습니다.
혈소판이란
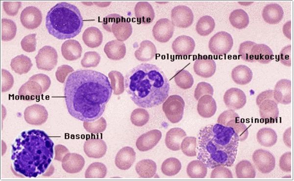
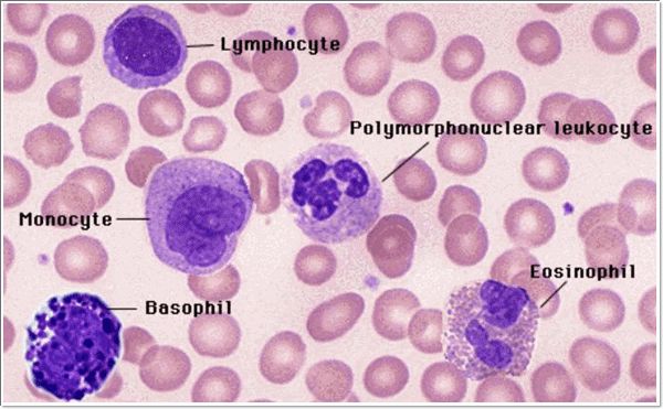
혈소판은 혈액의 중요한 구성 요소로 주로 혈액 응고와 상처 치유에 관여하는 세포입니다. 혈소판은 골수에서 생성되며, 크기는 약 2~4 마이크로미터로 매우 작습니다. 혈소판의 주요 기능은 혈관이 손상되었을 때 출혈을 방지하는 것입니다. 손상된 혈관 부위에 혈소판이 모여 응집하여 혈전(피떡)을 형성하고, 이로 인해 출혈을 막습니다.
또한, 혈소판은 상처 치유 과정에서 성장 인자와 화학 물질을 방출하여 조직 재생을 촉진합니다. 혈소판 수치가 낮아지면 출혈 위험이 증가하고, 반대로 수치가 너무 높으면 혈전이 형성되어 심혈관 질환의 위험이 커질 수 있습니다.
혈소판 정상 수치는 일반적으로 혈액 1마이크로리터(µL)당 150,000에서 450,000개의 혈소판으로 정의됩니다. 이 수치는 성별이나 나이에 따라 약간의 변동이 있을 수 있지만, 일반적으로 이 범위 내에 있으면 정상으로 간주됩니다.
혈소판 수치가 낮으면 증상
혈소판은 혈액 응고에 중요한 역할을 하므로, 그 수치가 낮으면 여러 가지 출혈 증상이 나타날 수 있습니다.
1. 피부 및 점막 출혈
자반
자반은 피부 아래의 작은 혈관이 파열되어 나타나는 붉은색 또는 자주색 반점입니다. 이 반점은 눌러도 색이 변하지 않으며, 크기는 다양할 수 있습니다. 혈소판이 충분하지 않으면 작은 혈관의 손상도 쉽게 멈추지 않아 자반이 자주 나타납니다.
점상출혈
점상출혈은 자반보다 작은 붉은색 점들이 피부에 나타나는 것을 말합니다. 주로 다리나 발목 같은 압력이 많이 가해지는 부위에 나타나며, 눌러도 색이 변하지 않습니다. 이는 혈소판 감소로 인해 작은 혈관이 파열된 결과입니다.
멍
평소보다 쉽게 멍이 들고, 멍의 크기나 빈도가 증가할 수 있습니다. 혈소판이 부족하면 경미한 외상에도 큰 멍이 생길 수 있습니다.
2. 출혈
잇몸 출혈
혈소판 수치가 낮으면 잇몸이 붓고 쉽게 출혈할 수 있습니다. 칫솔질이나 치실 사용 시 잇몸에서 출혈이 빈번하게 발생할 수 있습니다.
코피
코피가 자주 나는 것도 혈소판 감소증의 흔한 증상 중 하나입니다. 특히 자주 나고, 멈추기 어려운 코피가 나타날 수 있습니다.
소화관 출혈
소화관 출혈은 혈소판 감소증의 심각한 증상 중 하나입니다. 구토 시 피가 섞여 나오거나, 대변에 피가 섞여 나올 수 있습니다. 검붉은 색의 변은 대장이나 직장에서 출혈이 발생한 것을 나타냅니다.
월경 과다
여성의 경우, 월경 시 출혈이 평소보다 많아질 수 있습니다. 이는 혈소판 수치가 낮아져서 자궁 내막의 출혈을 멈추기 어려워지기 때문입니다.






3. 기타 증상
피로감
지속적인 출혈로 인해 빈혈이 발생하면 피로감이 심해질 수 있습니다. 혈액 손실로 인해 몸이 더 많은 에너지를 필요로 하게 되어 피로를 느낄 수 있습니다.
빈혈
출혈이 지속되면 적혈구 수가 감소하여 빈혈이 발생할 수 있습니다. 이는 혈액 내 산소 운반 능력이 저하되어 숨 가쁨, 피로, 창백한 피부 등을 유발합니다.
두통 및 현기증
지속적인 출혈이나 빈혈로 인해 두통이나 현기증이 발생할 수 있습니다. 이는 뇌에 충분한 산소가 공급되지 않기 때문입니다.
4. 심각한 합병증
두개내 출혈
혈소판 수치가 극도로 낮을 경우 두개내 출혈의 위험이 증가합니다. 이는 매우 치명적일 수 있으며, 갑작스러운 두통, 시력 변화, 발작, 의식 소실 등의 증상을 동반할 수 있습니다.
내출혈
혈소판 수치가 심각하게 낮으면 장기 내부에서 출혈이 발생할 수 있습니다. 복부 통증, 혈압 저하, 쇼크 등의 증상을 유발할 수 있으며, 즉각적인 의료 처치가 필요합니다






혈소판 수치 올리는 방법
혈소판은 혈액의 응고를 담당하는 중요한 세포입니다. 혈소판 수치가 낮으면 출혈의 위험이 커지기 때문에, 이를 관리하고 수치를 올리는 방법이 중요합니다. 혈소판 수치를 올리는 방법에는 생활 습관 개선, 영양 섭취, 약물 치료 등이 포함됩니다. 각 방법을 자세히 살펴보겠습니다.
1. 생활 습관 개선
충분한 휴식과 수면
혈소판 수치를 유지하거나 높이기 위해서는 충분한 휴식과 수면이 필수적입니다. 수면 부족은 신체의 전반적인 면역 기능과 혈액 생산 능력을 저하시킬 수 있습니다.
스트레스 관리
만성 스트레스는 혈액 세포의 생산과 기능에 영향을 미칠 수 있습니다. 명상, 요가, 심호흡 등의 스트레스 관리 기법을 통해 심리적 안정을 유지하는 것이 중요합니다.
2. 영양 섭취
철분이 풍부한 음식
철분은 혈액 생성에 중요한 역할을 합니다. 철분이 풍부한 음식으로는 붉은 고기, 간, 시금치, 콩류 등이 있습니다. 철분이 부족하면 혈소판뿐만 아니라 적혈구의 생성에도 문제가 생길 수 있습니다.
엽산
엽산은 DNA 합성과 세포 분열에 중요한 비타민입니다. 엽산이 풍부한 음식으로는 녹색 잎채소, 브로콜리, 아보카도, 콩류, 계란 등이 있습니다. 엽산 결핍은 혈액 세포의 생성에 영향을 줄 수 있습니다.
비타민 B12
비타민 B12는 적혈구와 혈소판의 생성에 중요한 역할을 합니다. 비타민 B12가 풍부한 음식으로는 쇠고기, 닭고기, 생선, 계란, 유제품 등이 있습니다. 채식주의자는 비타민 B12 보충제를 섭취하는 것이 좋습니다.
비타민 C
비타민 C는 철분의 흡수를 도와 혈액 생성에 기여합니다. 비타민 C가 풍부한 음식으로는 감귤류, 딸기, 키위, 브로콜리, 피망 등이 있습니다.
3. 약물 및 보충제
스테로이드
의사가 처방하는 스테로이드 약물은 혈소판 수치를 빠르게 올리는 데 도움을 줄 수 있습니다. 이는 면역 체계가 혈소판을 공격하는 것을 억제하는 데 사용됩니다.
면역글로불린
면역글로불린은 혈소판 파괴를 막기 위해 주사로 투여될 수 있습니다. 이는 주로 자가면역질환으로 인한 혈소판 감소증에 사용됩니다.
혈소판 생성 촉진제
Eltrombopag이나 Romiplostim과 같은 약물은 골수에서 혈소판 생산을 자극하는 데 사용됩니다. 이러한 약물은 주로 만성 혈소판 감소증 치료에 사용됩니다.
4. 위험 요소 피하기
알코올 섭취 제한
과도한 알코올 섭취는 혈소판 생산을 억제할 수 있습니다. 따라서 알코올 섭취를 제한하거나 피하는 것이 좋습니다.
특정 약물 피하기
아스피린이나 이부프로펜과 같은 비스테로이드성 소염진통제는 혈소판 기능을 저하시킬 수 있습니다. 의사와 상의하여 대체 약물을 찾는 것이 좋습니다.
감염 예방
감염은 혈소판 수치를 감소시킬 수 있습니다. 손 씻기, 위생 관리, 예방 접종 등을 통해 감염을 예방하는 것이 중요합니다.





