호중구 정상수치, 호중구 수치 올리는 방법에 대해서 알아보겠습니다. 호중구는 백혈구 중에서도 혈액 속에 존재하는 세포입니다. 우리 몸속에서는 면역과 관련된 일을 하고 있으며 세균 등 외부 물질로부터 신체를 보호하는 역할을 합니다.
이러한 호중구가 감소하면 감염 위험성이 증가하기 때문에 주의해야 합니다. 따라서 꾸준한 운동과 균형 잡힌 식사, 충분한 휴식으로 평소 건강 관리가 중요합니다.






호중구 정상수치
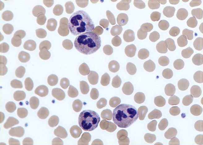
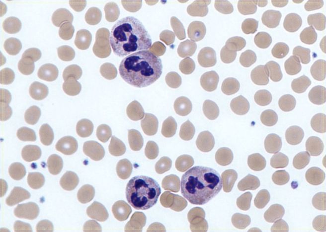
호중구는 백혈구의 한 종류로 혈액 중 백혈구의 약 40~70%를 차지하며 세균이나 바이러스 감염에 대항하는 역할을 합니다. 호중구는 골수에서 만들어져 혈액으로 이동하며, 감염 부위에 이동하여 침입한 세균이나 바이러스를 잡아먹거나 죽입니다.
호중구는 세균의 세포벽을 파괴하는 효소와 항균물질을 분비하여 세균을 죽입니다. 또한 바이러스의 단백질을 분해하여 바이러스의 증식을 막는 역할을 합니다.
호중구의 정상 수치는 혈액 1마이크로리터당 1,500~8,000개입니다. 호중구 수가 1,500개 미만으로 감소하면 호중구 감소증으로 진단됩니다.
호중구 수치 낮아지는 원인
호중구 수치가 낮아지는 원인에는 다음과 같은 것들이 있습니다.
감염 : 세균이나 바이러스 감염에 의해 골수에서 호중구가 만들어지는 속도가 느려지거나, 만들어진 호중구가 감염 부위에 이동하는 속도가 느려지면 호중구 수치가 낮아질 수 있습니다.
약물 : 화학요법, 방사선 치료, 면역억제제 등의 약물은 호중구 생성을 억제하여 호중구 수치가 낮아질 수 있습니다.
질병 : 백혈병, 림프종, 골수이형성증후군 등의 질환은 골수에서 호중구가 만들어지는 속도나 수를 감소시켜 호중구 수치가 낮아질 수 있습니다.
혈관 질환 : 혈관이 막히거나 손상되어 호중구가 혈관을 통해 이동하지 못하면 호중구 수치가 낮아질 수 있습니다.
자가면역질환 : 자가면역질환으로 인해 몸의 면역체계가 호중구를 공격하여 파괴하면 호중구 수치가 낮아질 수 있습니다.
영양결핍 : 비타민 B12, 비타민 C, 철분, 아연 등의 영양소가 부족하면 호중구 생성에 필요한 원료가 부족하여 호중구 수치가 낮아질 수 있습니다.
스트레스 : 스트레스는 호르몬의 변화를 통해 호중구 생성을 억제하여 호중구 수치가 낮아질 수 있습니다.
호중구 수치 올리는 방법
호중구 수치 올리는 가장 좋은 방법은 규칙적인 생활 습관을 가지는 것입니다. 하루 7시간 이상 숙면을 취하고 영양소 섭취를 꾸준히 하는 것이 좋습니다.
뿐만 아니라 스트레스를 받지 않는 것이 좋으며 가벼운 산책 또는 등산을 통해서 체력을 기르는 것도 도움이 됩니다. 이외에도 단백질 위주의 식단 구성하기, 무리한 운동 피하기, 금연·금주하기 등 다양한 방법이 있습니다.
1. 원인 치료
호중구 수치가 낮아지는 원인을 파악하여 그 원인을 치료하는 것이 가장 효과적인 방법입니다.호중구 수치가 낮아지는 원인이 감염, 자가면역 질환, 혈액 질환, 약물 부작용 등인 경우 해당 질환을 치료하면 호중구 수치가 정상으로 회복될 수 있습니다.
2. 생활습관 개선
충분한 휴식과 영양 섭취 : 호중구는 골수에서 생성되는데 충분한 휴식과 영양 섭취는 골수의 기능을 향상시키고 호중구의 생성을 촉진하는 데 도움이 됩니다. 따라서 호중구 수치가 낮은 경우 충분한 휴식을 취하고, 고단백질, 고열량의 음식을 섭취하는 것이 좋습니다.
균형 잡힌 식단 : 균형 잡힌 식단을 통해 필요한 영양소를 충분히 섭취하는 것이 중요합니다. 특히, 비타민 B12, 비타민 C, 철분, 아연 등의 영양소는 호중구 생성에 도움이 됩니다.
감염 예방 : 감염은 호중구를 파괴하는 주요 원인이므로 감염을 예방하는 것이 중요합니다. 손을 자주 씻고, 외출 시 마스크를 착용하며, 사람이 많은 곳을 피하는 등의 예방 수칙을 준수하는 것이 좋습니다.
금연 및 과음 : 과음과 흡연은 면역 체계에 부정적인 영향을 미칩니다.
충분한 수면 : 충분한 수면은 면역 체계가 회복되는 데 도움이 됩니다.
규칙적인 운동 : 규칙적인 운동은 면역력을 높이는 데 도움이 됩니다.
스트레스 관리 : 스트레스는 면역 체계에 부정적인 영향을 미칠 수 있으므로 스트레스를 관리하는 것이 중요합니다.
3. 호중구 수치를 높이는 음식 섭취
고단백질 식품 : 계란, 육류, 생선, 콩류
비타민 B12가 풍부한 음식 : 오징어, 소고기, 굴, 달걀, 우유 등
비타민 C가 풍부한 음식 : 키위, 오렌지, 딸기, 브로콜리, 피망 등
철분이 풍부한 음식 : 쇠고기, 닭고기, 시금치, 견과류 등
아연이 풍부한 음식 : 굴, 육류, 달걀, 견과류 등





